#1 Dental Clinic in Coimbatore, India. Call Us: +917200040664 | +919442340664 | 04224172507

Laser Dentistry

Laser dentistry is kind and gentle. It’s pain free.

The treatments that can be done through Laser are:

  • Laser bleaching: It is painless and tales less than an hour to change dull and yellow colour teeth to sparkling and white colour teeth.
  • Pain therapy : Laser can drastically reduce jaw joints (TMJ) pain in single visit.
  • Ulcer healing : Painful Ulcers becomes painless drastically.
  • Gum contouring : Swollen and irregular gum can be contoured to make your smile beautiful.
  • Gum lightening : Pigmented dark coloured gums can be lightened significantly.
  • Laser surgeries : No cut, No sew (stitches), No fear.
  • Removal of small gum growth : Especially around partially erupted third molar.
  • Exposure of unerupted tooth : Useful in orthodontics to fix clip on an impacted tooth.
  • Hemostasis : Laser helps to arrest bleeding.
  • Root Canal Treatment : To sterilize the infected root canal.
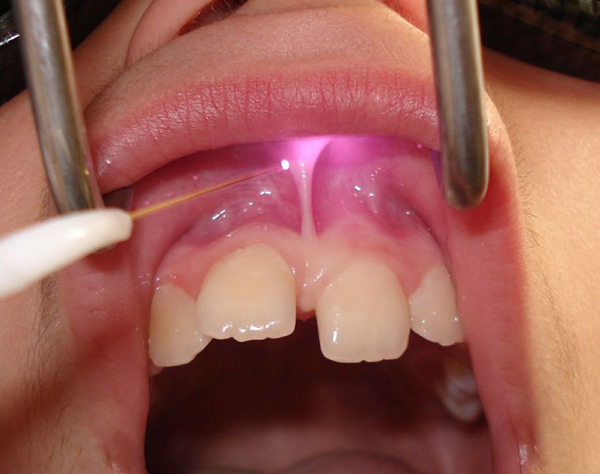
  • Frenectomy : Removal of high frenal attachment with laser makes it very convenient.
  • Flap Surgery : Effective treatment for gum strengthening.
  • Crown Lengthening : Makes it possible to restore mutilated teeth.
  • Veneers and Crowns : To expose the margin for clear lab communication.
  • Tongue Tie : Release of tie with laser significantly improves pronounciation and function.

Advantages:

  • Reduces stress and fear of going to dentist.
  • Minimally invasive.
  • Fewer dental visits, less time in dental chair.
  • Painless, bloodless, clean surgical field.
  • No or minimal need for anaesthesia.
  • Laser kills bacteria, risk of infection is reduced.
  • No post-operative discomfort and swelling.
  • Superior and faster healing.
  • Friendly Doctors
  • Comfortable Office
  • Affordable Pricing
  • Family Friendly
  • Convenient Location
  • Little to no Wait Time
  • Detailed Consultation
  • Satisfaction Guarantee
  • Accessibility
  • Modern Equipment
  • High-Quality Materials
  • Best Treatment