Doctors at Toothtown Dental Clinic, Coimbatore are well experienced in providing solutions for aligning the teeth. Facilities such as Fixed Metal Braces, Ceramic Braces, Removable clips, Clear Aligners, Myofunctional Appliances, Myobraces and Habit Breaking Appliances are available.
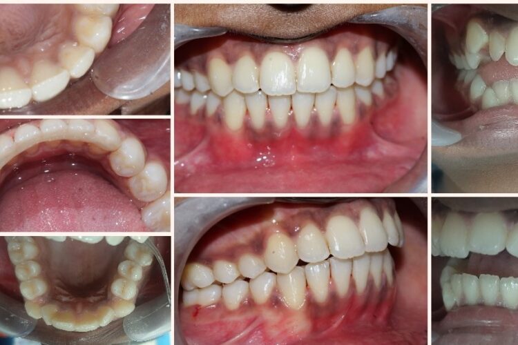
Orthodontics deals with alignment of irregularly placed teeth bringing change in esthetics and appearance significantly. Irregularly placed teeth makes brushing difficult that causes tooth decay and gum disease.
There are many treatments in Orthodontics that differ from person to person based on their age,position of teeth and bone.The treatments are
- Fixed appliance (Braces)
- Removable appliance
- Functional appliance
- Headgears
- Retainers
Fixed appliance:
This treatment takes an average of 12 to 18 months for completion . They constitute of brackets fixed to the teeth which may be of
- Metal
- Ceramic
Removable appliance:
- For Minor tooth corrections
- As Retainers
Functional appliance:
These appliances are used for growth modification procedure that are aimed at intercepting and treating jaw discrepancies in Children aged 5 to 12 years.
- Twin block
- Frankel appliance
- Head Gear
- Chin Cap
Clear aligners:
Clear aligners are clear, practically invisible braces that can gently align your teeth. They provide an effective and comfortable way to straighten your smile without the inconvenience of wearing metal or ceramic braces with wires. They get the job done with less time, less discomfort, less hassle.
Myobraces:
Myobrace is a soft,three-stage appliance system along with combination of exercise that corrects poor oral habits, while applying light forces to align the teeth.In kids it additionally it corrects upper and lower jaw problems.
CLICK TO KNOW MORE
Any one with malaligned or irregular teeth, crowded teeth, overlapping teeth, protruded teeth, or one with gaps in between teeth may require orthodontic treatment. Age is not a bar.
There are numerous reasons for malaligned or irregular teeth. These are briefly
| o Small jaw
o Genetically inherited tooth size o Thumb sucking o Lip Biting o Tongue thrusting o Other Habits like mouth breathing, nail biting o Incompetent lips o Injury / accidents |
Badly arranged teeth especially protruding teeth can break easily during trauma. Crowded teeth can trap food particles that cause tooth decay and gum disease. They may interfere with the chewing ability and might impact temporomandibular joint and overall dental health. Badly arranged teeth can affect the confidence to deliver a bright smile.
The braces are either metal or ceramic (tooth colored), open or self-ligating, etc.
No. There are basically two types of orthodontic treatment.
- Removable
- Fixed
It is decided by the dentist according to the existing problem. And also Both upper and lower teeth are attended at the same time mostly, but in few the treatment is limited to one arch at a time.
During treatment some may have to wear small elastic bands which you change regularly. Some treatment require a retractor or head gear, a lip bumper and other functional appliances according to age and requirement.
- A full mouth radiograph (OPG)
- Side profile radiograph (Cephalogram)
- Study models
The treatment is carried out by fixing braces to teeth. In some cases there is a need to extract few teeth in order to gain space to align teeth. Teeth are removed only after serious consideration. However if a patient comes to a dentist at a young age and the problem is not severe, then the entire treatment is carried out without tooth removal. It is therefore critical to visit a dentist at the earliest.
Normally it will take 8-18 months to complete the treatment. But this might vary according to the existing problem. Teeth with over crowding or procedures requiring functional appliances may require extra few months. Duration of Treatment also varies with Age of the patient.
"Not at all". You will only need to take reasonable care of your braces during contact sports like boxing, football, hockey, cricket etc. to prevent damage to the braces and injury to teeth and lips. There might be some difficulty in speech but that is temporary.
There are definitely some food restrictions to have your treatment progress uninterruptedly. But You can still continue to eat your favourite foods provided they are prepared suitably. Your food will have to be softened, or cut into small pieces, or be well cooked before eating. Foods that are best avoided are popcorn, sticky chocolates, hard nuts and fruits, hard crusts and chewing gum. These foods can break or loosen your braces making you uncomfortable and can delay treatment.
The Treatment is certainly not painless, but the pain is mild and lasts for few days after the orthodontic visit. After this, there is no pain. During subsequent adjustments or wire changes, there may be mild discomfort. Recent advances in orthodontics have made treatments far more comfortable. The braces become a part of you just as spectacles.
- Do not eat hard and sticky foods
- Do not indulge in heavy sports activities like football, boxing, etc
- Use seat belts while driving
- Brushing with braces on your teeth requires a little more effort
- Use an orthodontic tooth brush
- Brush twice a day with a fluoride toothpaste. A Fluoride mouthwash is a must to prevent decalcification
- Never allow food or plaque to accumulate on the teeth and braces. An Interdental Brush should be used to dislodge the food that is lodged between your teeth and braces
- Professional cleaning should be done every 3 months to maintain gum health
Ideally 10-14 years after all the permanent teeth has erupted. But With advances now a days the treatment can be performed at any age provided the tooth has got good periodontal support. Appliances can be given below 10 years of age to guide the teeth to come in correct position and also to guide the jaw growth.
These are non customised rubber appliances to guide teeth and jaw growth. It is a easiest way of limiting teeth alignment problems and dental bad habits in children between 6 – 9 yrs of age. Usually we wait till 12 yrs for doing orthodontic treatment with braces. But with the introduction of this easy braces, we can start guiding the teeth at an early age of 6 yrs.
Minor malalignment of the teeth are corrected at an early age. These are also used as habit breaking appliance in thumb sucking, mouth breathing, lip biting, tongue thrusting etc.
- Friendly Doctors
- Comfortable Office
- Affordable Pricing
- Family Friendly
- Convenient Location
- Little to no Wait Time
- Detailed Consultation
- Satisfaction Guarantee
- Accessibility
- Modern Equipment
- High-Quality Materials
- Best Treatment
