Toothtown Dental Clinic, Coimbatore provides the best Root Canal Treatment with high end technologies like Laser, Digital Xrays and Rubber dam.
Endodontic treatment (“endo” – inside; “dont” – tooth), commonly known as root canal treatment, is needed when the pulp becomes inflamed or infected. A root canal treatment is a procedure to repair and save a tooth that is infected or badly decayed. Inside each tooth, there is a soft tissue called the pulp, which contains nerves and blood vessels. When the pulp becomes infected due to deep decay, repeated dental procedures, or trauma, it can cause severe pain and swelling. A root canal treatment removes the infected pulp, cleans the inside of the tooth, and seals it to prevent further infection.
When Root Canal Treatment is required?
- Deep tooth decay,
- Repeated dental procedures on one tooth (replacing a large filling, for example)
- Traumatic damage such as a crack, chip or even a root fracture.
- Gum disease giving rise to root canal problems
Any of these issues can result in acute inflammation of the pulp, which causes swelling and pressure inside the tooth , leading to tooth pain and, eventually, irreversible damage to the pulp. Once the pulp dies, the pain may subside initially, sometimes to return as an acute (painful) infection spreading into the periapical tissues (“peri” – around; “apex” – end), particularly the bone and forms abscess (infection at the end of root). It could also become a chronic (long-standing) infection with symptoms ranging from mild to severe.
Generally speaking, whatever the cause of root canal or pulpal disease, root canal or endodontic treatment will be necessary to save the tooth.
Why RCT @ Tooth Town?
- High end technologies used to fill the root canal providing maximum comfort to the patient
- During root canal treatment your tooth will be isolated and protected with a sheet of rubber (rubber dam). This prevents debris from within the tooth entering the mouth or saliva and bacteria from mouth entering the tooth during treatment process.
ALL ABOUT RCT
Root canal treatment is cleaning, shaping and filling the canals inside the roots of the tooth.
A Root Canal Treatment is needed when a tooth's pulp containing nerve and associated blood vessels are irreversibly damaged. For example:
- Deep cavities that has infected the pulp
- A Fractured tooth involving the pulp (innermost layer of teeth)
- Discolored Tooth with a history of trauma
- Teeth that are severely worn out.
The end result of the above causes is the same - an infection that leads to an abcess at the base of the tooth.
You may have one or more of the following symptoms …
- Throbbing pain in the tooth (especially noticeable when lying horizontal, i.e. in bed at night).
- Continuous Pain / severe sensitivity on consuming hot and / or cold foods.
- The tooth may be painful to chew on.
- There may also be a swelling in your jaw.
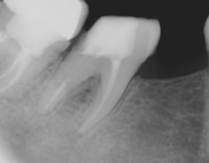
Yes, Bacteria can invade your tooth through loose or a broken filling, a cavity or a crack and eventually the pulp gets infected. At this stage there may or may not be any symptoms. A Root Canal Treatment would usually save this tooth. If left untreated, the infection may even spread to your bone. As the infection spreads, bone around the teeth will degenerate and a tooth abscess may form. So, a regular dental check up with Radiographs (X-rays) can identify a tooth with root canal infection at an early stage prior to any symptoms.
- The tooth and the surrounding gums are anesthetized. Cartridge anesthesia with a very fine needle is used in our clinic, so that it is almost painless.
- A Rubberdam is placed around the tooth to be root canal treated, so that there is more comfort and safety for the patient. As the tooth getting treated is alone exposed out, any medications used on the tooth does not enter the mouth.
- An opening is made through the crown into the pulp chamber.
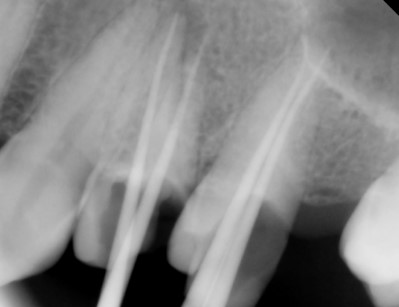
- Unhealthy pulp is removed. The length of the root canal is determined with the help of Electronic Apex locators as well as radiographs. The canals are then cleaned, enlarged and shaped with special caliberated instruments and disinfecting solutions.
- Periodic Radiographs (X rays) using digital RVG are taken during the treatment.
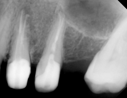
- Once the tooth is free of infection, the tooth is filled with a special root canal filling material like gutta percha and the access previously opened is sealed permanently with a Core filling.
- A post may be added with the core for structural support.
- Usually a metal or porcelain crown is made for the RC treated tooth to get the tooth back in function.
Gutta percha, a natural product from rubber trees is the material of choice. There are Various forms of gutta-percha used. The selection and technique varies according to the shape, size and number of root canals. Previously silver points were used to fill the root canal. As they corrode easily and their products are not Biocompatible they are not used now.
A core filling is done after every RCT procedure. It fills the prepared access space that is made during RCT. A core is done to strengthen the RC treated tooth before it receives a crown. At times, when the crown of RC treated tooth is badly broken down, a Post (Stainless steel, Titanium or Fibre) is inserted in one or more roots to hold the core filling material.
No. Its performed to relieve pain. It can be really painless than a filling under the latest technology and proper local anesthesia. But sometimes due to inflammation of tissues around the root, there might be a mild discomfort when the tooth is touched with tongue or finger. This is a temporary discomfort which will subside within a week or two.
Mostly a single visit is enough for RCT. But if the root canal is badly infected or requires re-treatment, it might need two or more sittings.
After the inside of your teeth has been treated, the outside will have to be restored to protect your tooth's underlying structures and give your teeth a healthy appearance. After Root Canal Therapy your tooth should function and feel like your other teeth. If the crown is not made, there are more chances for the tooth to fracture. So crown is made as early as possible for root canal treated teeth. However, there are few exceptions, where only a filling will serve the function. The decision is made by the treating dentist.
The only alternative is removal of the tooth (extraction).
There are few problems that can arise when a tooth is removed.
- There is a tendency for the remaining healthy teeth to drift into the space of the extracted teeth. This causes spaces between the teeth, which leads to food impaction, dental caries, malocclusion, joint problems, etc
- There will be difficulty in chewing. Due to improper chewing, food stuffs take a longer time to digest. This causes acidity and other gastric problems
- At the missing teeth area the cheeks shrink inside, giving an older appearance to the face.
- Difficulty in speech when the front teeth are lost.
Though an extraction is cheaper, an implant or bridge to replace the tooth can be more expensive than Root Canal Therapy. If you have a choice, it is always advisable to keep your original teeth. However, there are limitations, and at times a Root Canal Therapy might not be possible. Allow your Dentist to decide.
About 95% success rate, which is really excellent for any medical procedure today.
The reasons for failure may be
- Severe gum infection with mobile tooth
- Poor immunity like in uncontrolled diabetics, auto immune diseases
- Poor maintenance
- Missing appointments during the treatment
- Delayed crowning of the tooth
Yes, a failed RCT with pain again can be redone, but the number of sittings would be more than one.
- Take medications if prescribed
- Do not come in empty stomach
- To give best treatment we need enough time, so please keep yourself free for 2 hours during your appointment, though RCT is for 1 hour
- Do not drink anything hot until the anesthesia wears off
- Mild to moderate discomfort may be there on the treated tooth, but the grade of pain is expected to come down in a day or two under medications
- Please do not stop the medications without doctors advice
- Do not chew anything hard on the treated side until the dentist tells you
- You can drive home yourself, as it is only local anesthesia given. i.e., you will not have drowsiness
- It is advisable to visit your Dentist regularly for preventive check - ups
Your Dentist is trained to see hidden problems that you cannot. After all, your teeth should last you a lifetime.
- Friendly Doctors
- Comfortable Office
- Affordable Pricing
- Family Friendly
- Convenient Location
- Little to no Wait Time
- Detailed Consultation
- Satisfaction Guarantee
- Accessibility
- Modern Equipment
- High-Quality Materials
- Best Treatment